|
|
![]() |
|
![]() |
![]() |
![]() |
![]() |
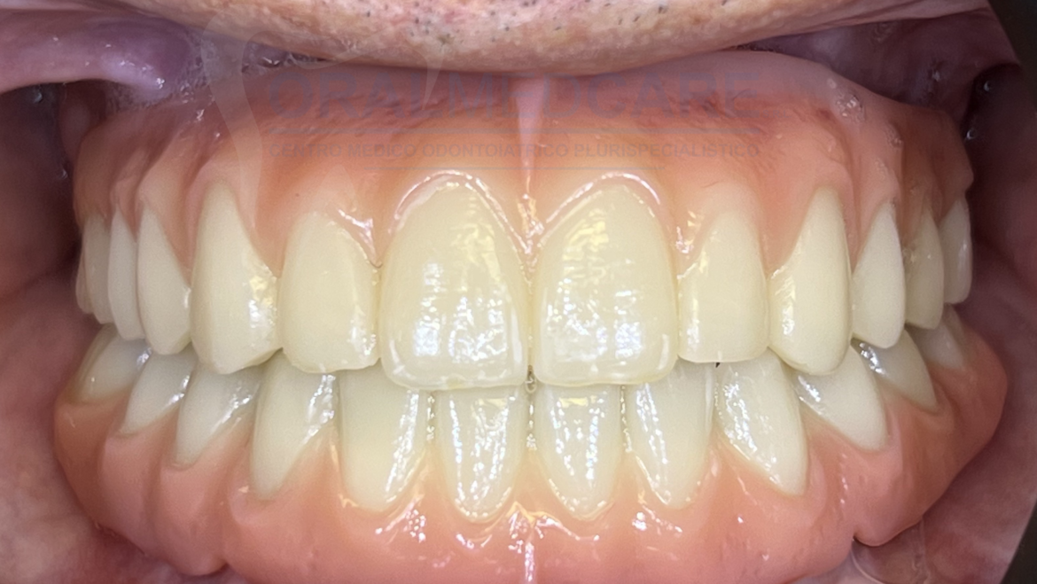
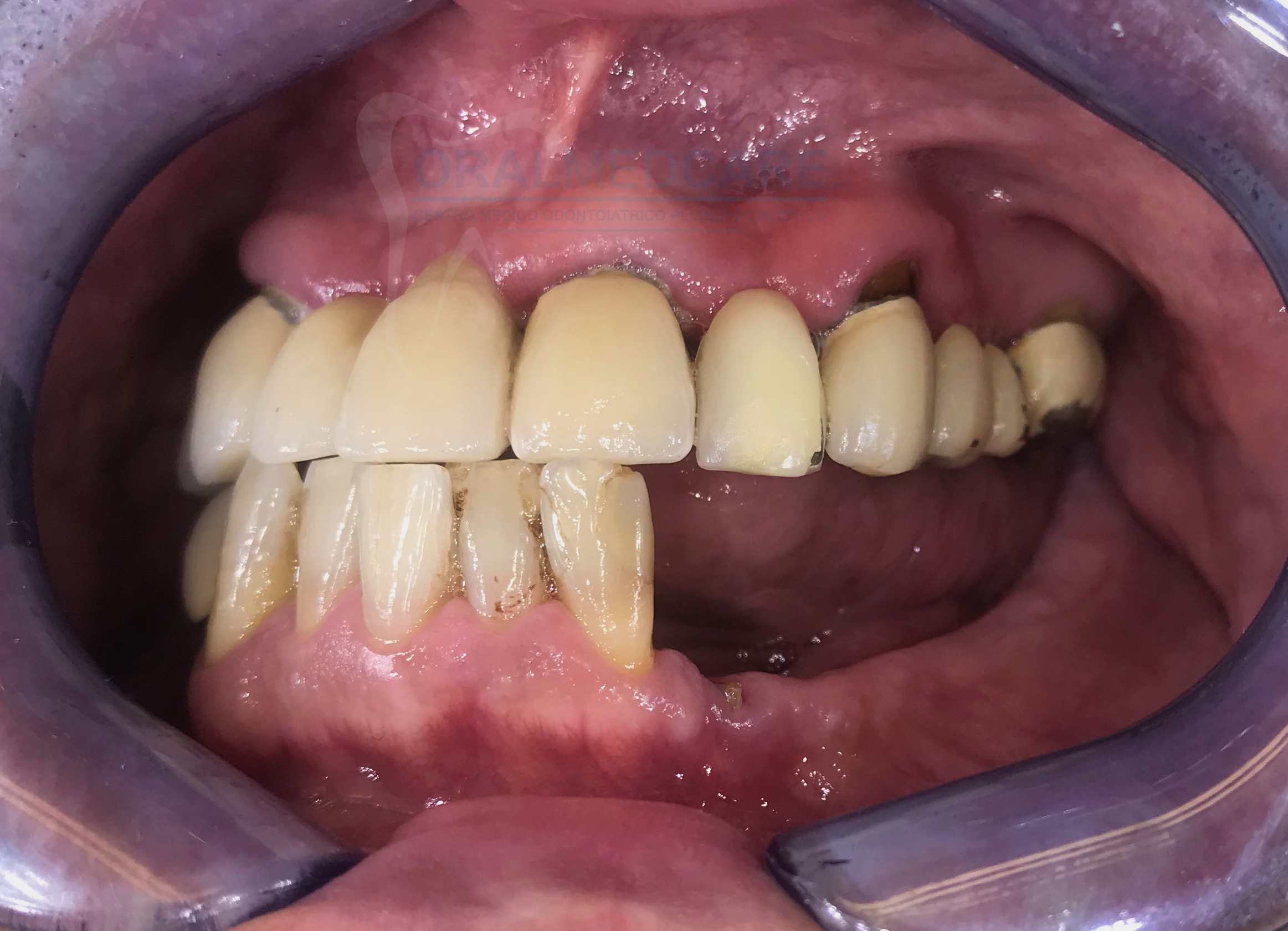
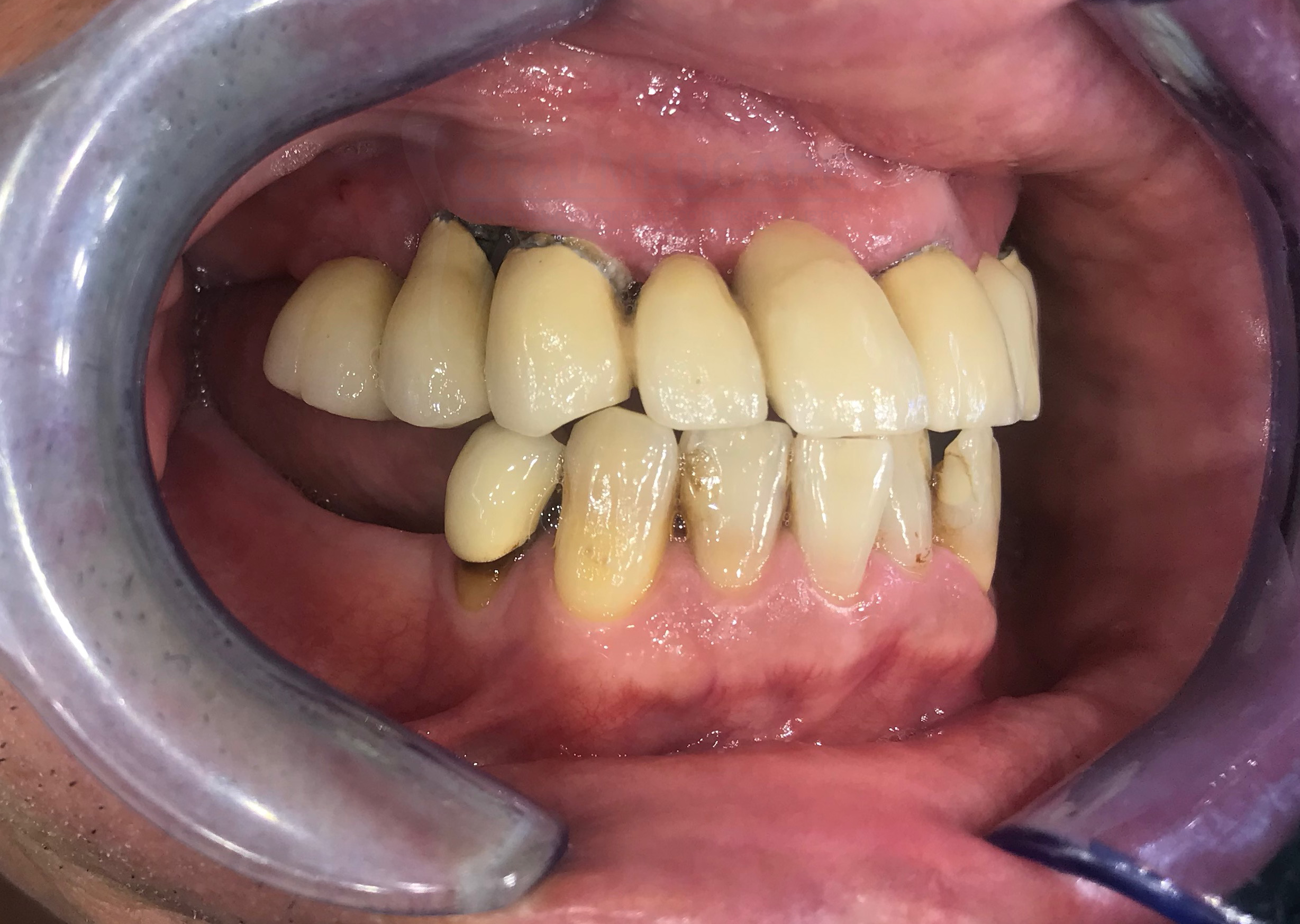
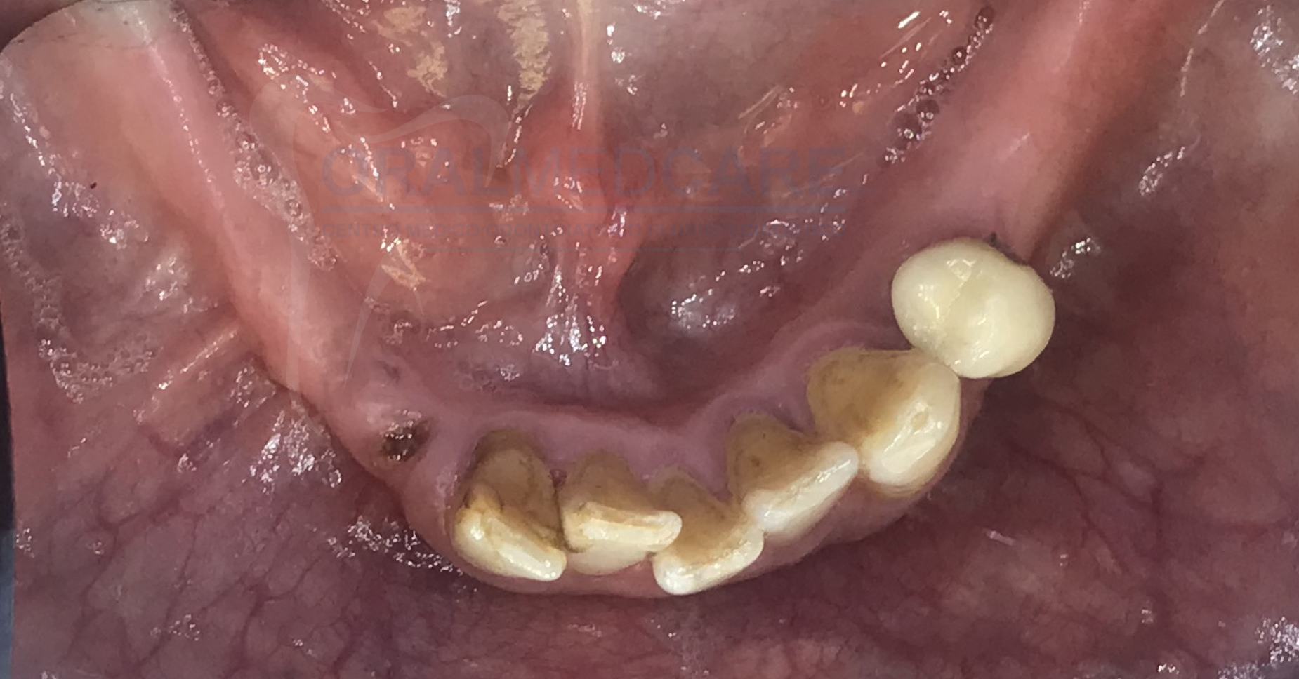
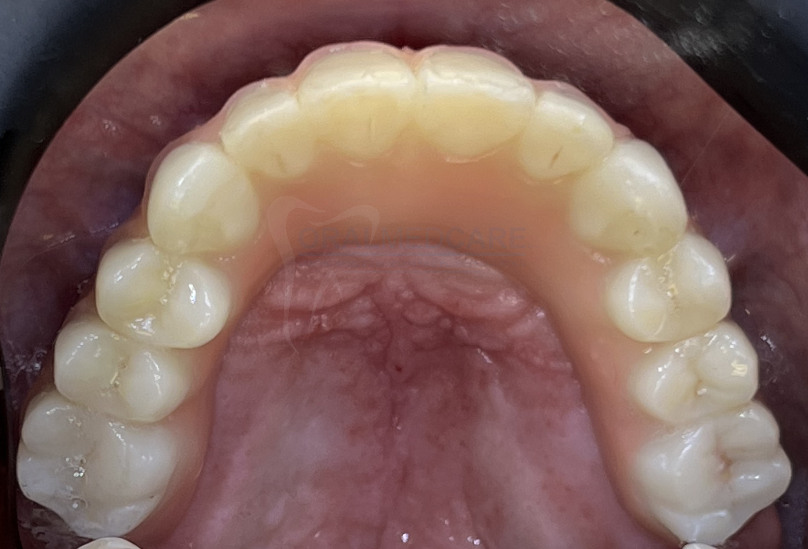
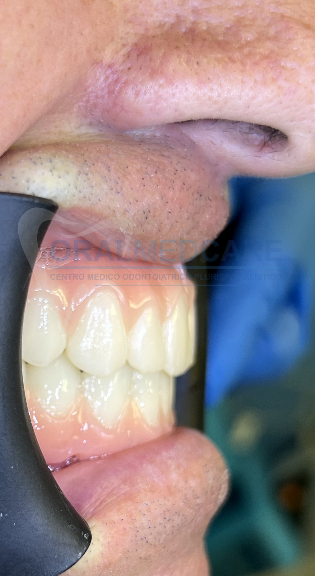
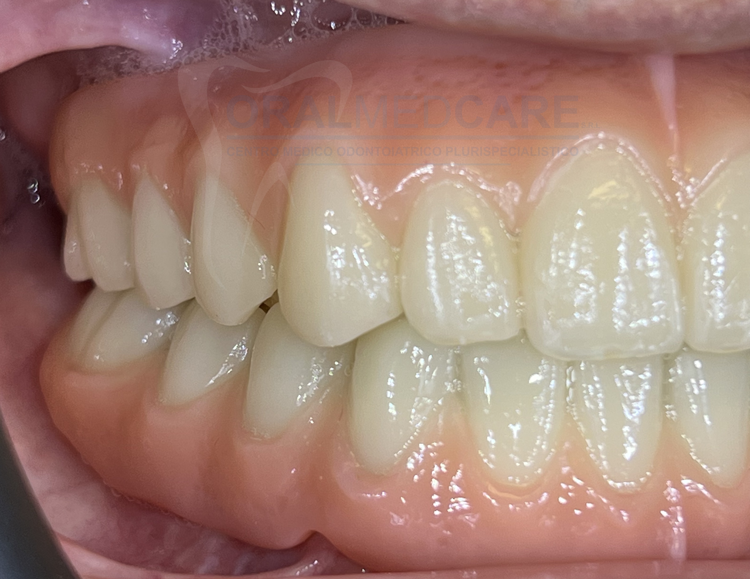
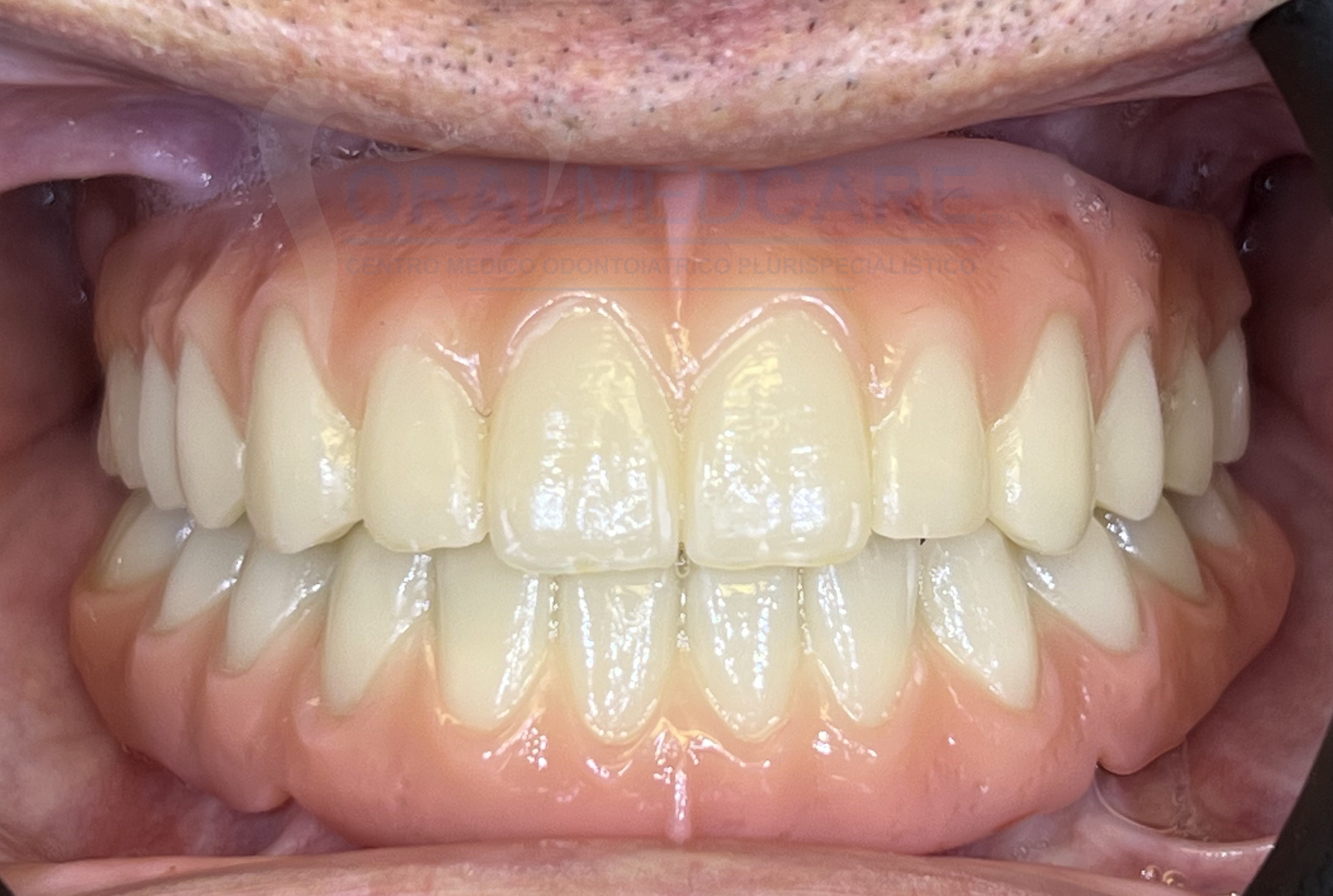
Caso Clinico di paziente parzialmente edentulo, con restauri protesici in metallo ceramica obsoleti. Raccolte le aspettative del paziente e tenendo conto dei suoi vincoli, si esegue lo Studio del Caso Clinico, e successiva Progettazione Digitale mediante metodica CAD. Realizzato il progetto, tenuto colto delle indicazioni, limitazioni, controindicazioni, rischi e complicanze di tutte le possibili alternative, al paziente viene proposto un Piano Terapeutico di Riabilitazione Odontoiatrica, con Protesi Full Arch a Supporto Implantare di tipo Overdenture
![]() |
Barra in Titanio, a costituire la mesostruttura della Protesi di tipo Overdenture
![]() |
Barra in Titanio, a costituire la mesostruttura della Protesi di Tipo Overdenture
![]() |
![]() |
|
![]() |
![]() |
![]() |
![]() |
![]() |
Dopo una prima fase chirurgica di ripristino di adeguata volumetria ossea 3D dei processi alveolari mascellari ed mandibolari con tecnica di GBR (Guided Bone Regeneration), Rialzo di Seno Mascellare Bilaterale, ed Intervento di Inserimento degli Impianti Dentali, si procede alla fase di Riabilitazione Protesica, che ha previsto una prima fase provvissoria terapeutica di risoluzione della Patologia, di recupero della Funzione, e miglioramento dell’Estetica. Una volta soddisfatte le aspettative del paziente, si procede alla realizzazione della Protesi Definitiva Ibrida Full Arch a suporto implantare di tipo Overdenture

















